Natural Veneers in der Kaiserberg Klinik, Duisburg
StartseiteEinsatzmöglichkeiten und VorteileBehandlungsablaufVeneers Made in GermanyBehandlungsbeispieleFAQ - Häufig gestellte FragenKontakt

Haben Sie Fragen zu Natural Veneers?
Zögern Sie nicht uns anzurufen:

Unsere Experten für Ihr schönstes Lächeln:
Ihr Kaiserberg Zahnmedizinisches-Versorgungs-Zentrum
Telefon: 0203 3 93 60

Oder schreiben Sie uns eine Email:
zum Kontaktformular


Behandlungsbeispiele

Hier sehen Sie einige Beispiele für Behandlungen, die bei uns durchgeführt wurden. (Klicken Sie auf das jeweilige Bild um eine größere Darstellung zu sehen, dort können Sie Weiter- und Zurück-Klicken.)

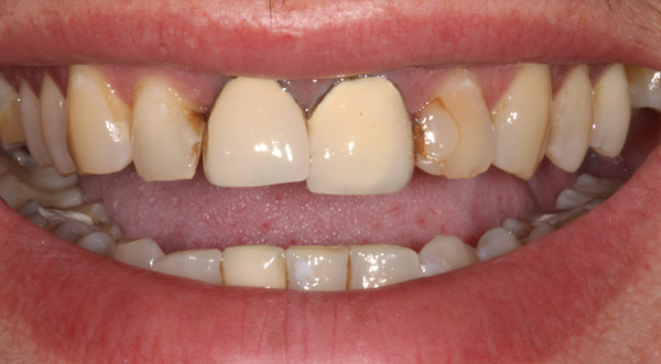
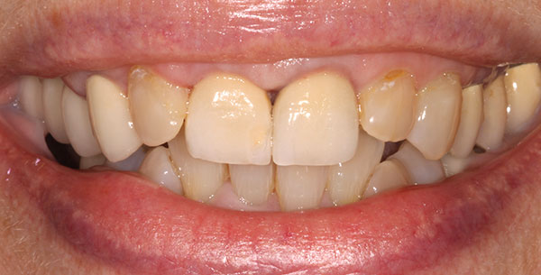
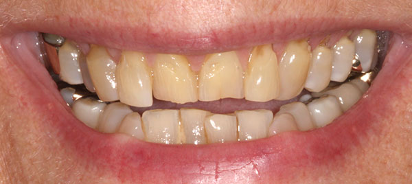
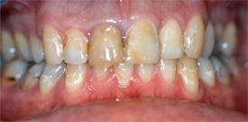
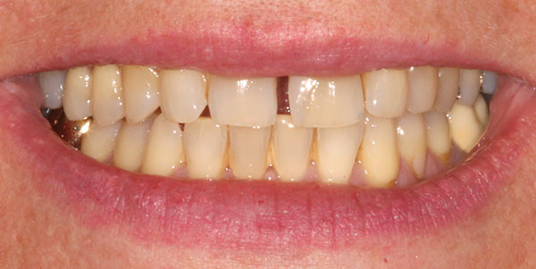
Behandlungsbeispiel 20 für Natural Veneers in der Kaiserberg Klinik. Vor der Behandlung.

Natural Veneers

Behandlungsbeispiel 20 für Natural Veneers in der Kaiserberg Klinik. Vor der Behandlung.
(Mit Pfeiltasten blättern)
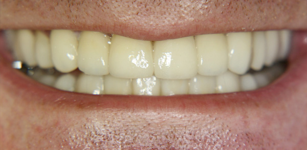
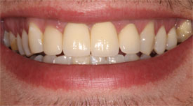
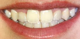
Behandlungsbeispiel 20 für Natural Veneers in der Kaiserberg Klinik. Nach der Behandlung.

Natural Veneers

Behandlungsbeispiel 20 für Natural Veneers in der Kaiserberg Klinik. Nach der Behandlung.
(Mit Pfeiltasten blättern)
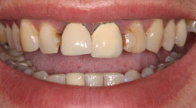
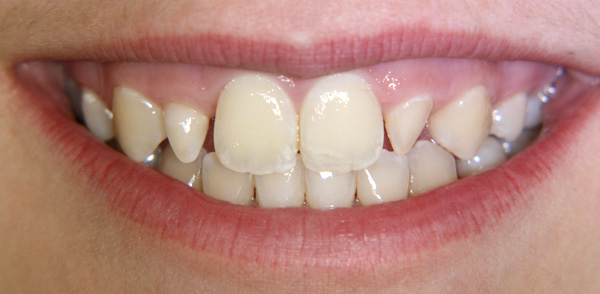
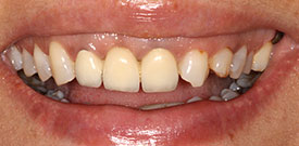
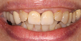
Behandlungsbeispiel 19 für Natural Veneers in der Kaiserberg Klinik. Vor der Behandlung.

Natural Veneers

Behandlungsbeispiel 19 für Natural Veneers in der Kaiserberg Klinik. Vor der Behandlung.
(Mit Pfeiltasten blättern)
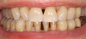
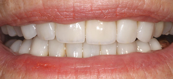
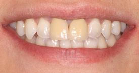
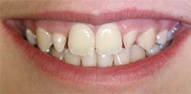
Behandlungsbeispiel 19 für Natural Veneers in der Kaiserberg Klinik. Nach der Behandlung.

Natural Veneers

Behandlungsbeispiel 19 für Natural Veneers in der Kaiserberg Klinik. Nach der Behandlung.
(Mit Pfeiltasten blättern)
Behandlungsbeispiel 18 für Natural Veneers in der Kaiserberg Klinik. Vor der Behandlung.

Natural Veneers

Behandlungsbeispiel 18 für Natural Veneers in der Kaiserberg Klinik. Vor der Behandlung.
(Mit Pfeiltasten blättern)
Behandlungsbeispiel 18 für Natural Veneers in der Kaiserberg Klinik. Nach der Behandlung.

Natural Veneers

Behandlungsbeispiel 18 für Natural Veneers in der Kaiserberg Klinik. Nach der Behandlung.
(Mit Pfeiltasten blättern)
Behandlungsbeispiel 17 für Natural Veneers in der Kaiserberg Klinik. Vor der Behandlung.

Natural Veneers

Behandlungsbeispiel 17 für Natural Veneers in der Kaiserberg Klinik. Vor der Behandlung.
(Mit Pfeiltasten blättern)
Behandlungsbeispiel 17 für Natural Veneers in der Kaiserberg Klinik. Nach der Behandlung.

Natural Veneers

Behandlungsbeispiel 17 für Natural Veneers in der Kaiserberg Klinik. Nach der Behandlung.
(Mit Pfeiltasten blättern)
Behandlungsbeispiel 16 für Natural Veneers in der Kaiserberg Klinik. Vor der Behandlung.

Natural Veneers

Behandlungsbeispiel 16 für Natural Veneers in der Kaiserberg Klinik. Vor der Behandlung.
(Mit Pfeiltasten blättern)
Behandlungsbeispiel 16 für Natural Veneers in der Kaiserberg Klinik. Nach der Behandlung.

Natural Veneers

Behandlungsbeispiel 16 für Natural Veneers in der Kaiserberg Klinik. Nach der Behandlung.
(Mit Pfeiltasten blättern)
Behandlungsbeispiel 15 für Natural Veneers in der Kaiserberg Klinik. Vor der Behandlung.

Natural Veneers

Behandlungsbeispiel 15 für Natural Veneers in der Kaiserberg Klinik. Vor der Behandlung.
(Mit Pfeiltasten blättern)
Behandlungsbeispiel 15 für Natural Veneers in der Kaiserberg Klinik. Nach der Behandlung.

Natural Veneers

Behandlungsbeispiel 15 für Natural Veneers in der Kaiserberg Klinik. Nach der Behandlung.
(Mit Pfeiltasten blättern)
Behandlungsbeispiel 14 für Natural Veneers in der Kaiserberg Klinik. Vor der Behandlung.

Natural Veneers

Behandlungsbeispiel 14 für Natural Veneers in der Kaiserberg Klinik. Vor der Behandlung.
(Mit Pfeiltasten blättern)
Behandlungsbeispiel 14 für Natural Veneers in der Kaiserberg Klinik. Nach der Behandlung.

Natural Veneers

Behandlungsbeispiel 14 für Natural Veneers in der Kaiserberg Klinik. Nach der Behandlung.
(Mit Pfeiltasten blättern)
Behandlungsbeispiel 11 für Natural Veneers in der Kaiserberg Klinik. Vor der Behandlung.

Natural Veneers

Behandlungsbeispiel 11 für Natural Veneers in der Kaiserberg Klinik. Vor der Behandlung.
(Mit Pfeiltasten blättern)
Behandlungsbeispiel 11 für Natural Veneers in der Kaiserberg Klinik. Nach der Behandlung.

Natural Veneers

Behandlungsbeispiel 11 für Natural Veneers in der Kaiserberg Klinik. Nach der Behandlung.
(Mit Pfeiltasten blättern)
Behandlungsbeispiel 9 für Natural Veneers in der Kaiserberg Klinik. Vor der Behandlung.

Natural Veneers

Behandlungsbeispiel 9 für Natural Veneers in der Kaiserberg Klinik. Vor der Behandlung.
(Mit Pfeiltasten blättern)
Behandlungsbeispiel 9 für Natural Veneers in der Kaiserberg Klinik. Nach der Behandlung.

Natural Veneers

Behandlungsbeispiel 9 für Natural Veneers in der Kaiserberg Klinik. Nach der Behandlung.
(Mit Pfeiltasten blättern)
Behandlungsbeispiel 8 für Natural Veneers in der Kaiserberg Klinik. Vor der Behandlung.

Natural Veneers

Behandlungsbeispiel 8 für Natural Veneers in der Kaiserberg Klinik. Vor der Behandlung.
(Mit Pfeiltasten blättern)
Behandlungsbeispiel 8 für Natural Veneers in der Kaiserberg Klinik. Nach der Behandlung.

Natural Veneers

Behandlungsbeispiel 8 für Natural Veneers in der Kaiserberg Klinik. Nach der Behandlung.
(Mit Pfeiltasten blättern)
Behandlungsbeispiel 7 für Natural Veneers in der Kaiserberg Klinik. Vor der Behandlung.

Natural Veneers

Behandlungsbeispiel 7 für Natural Veneers in der Kaiserberg Klinik. Vor der Behandlung.
(Mit Pfeiltasten blättern)
Behandlungsbeispiel 7 für Natural Veneers in der Kaiserberg Klinik. Nach der Behandlung.

Natural Veneers

Behandlungsbeispiel 7 für Natural Veneers in der Kaiserberg Klinik. Nach der Behandlung.
(Mit Pfeiltasten blättern)
Behandlungsbeispiel 6 für Natural Veneers in der Kaiserberg Klinik. Vor der Behandlung.

Natural Veneers

Behandlungsbeispiel 6 für Natural Veneers in der Kaiserberg Klinik. Vor der Behandlung.
(Mit Pfeiltasten blättern)
Behandlungsbeispiel 6 für Natural Veneers in der Kaiserberg Klinik. Nach der Behandlung.

Natural Veneers

Behandlungsbeispiel 6 für Natural Veneers in der Kaiserberg Klinik. Nach der Behandlung.
(Mit Pfeiltasten blättern)
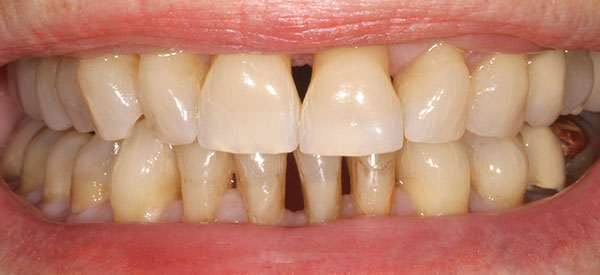
Behandlungsbeispiel 5 für Natural Veneers in der Kaiserberg Klinik. Vor der Behandlung.

Natural Veneers

Behandlungsbeispiel 5 für Natural Veneers in der Kaiserberg Klinik. Vor der Behandlung.
(Mit Pfeiltasten blättern)
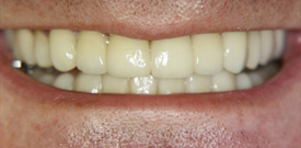
Behandlungsbeispiel 5 für Natural Veneers in der Kaiserberg Klinik. Nach der Behandlung.

Natural Veneers

Behandlungsbeispiel 5 für Natural Veneers in der Kaiserberg Klinik. Nach der Behandlung.
(Mit Pfeiltasten blättern)
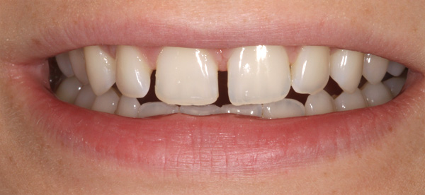
Behandlungsbeispiel 2 für Natural Veneers in der Kaiserberg Klinik. Vor der Behandlung.

Natural Veneers

Behandlungsbeispiel 2 für Natural Veneers in der Kaiserberg Klinik. Vor der Behandlung.
(Mit Pfeiltasten blättern)
Behandlungsbeispiel 2 für Natural Veneers in der Kaiserberg Klinik. Nach der Behandlung.

Natural Veneers

Behandlungsbeispiel 2 für Natural Veneers in der Kaiserberg Klinik. Nach der Behandlung.
(Mit Pfeiltasten blättern)